Haqqımda
Xidmətlər
Nəticələr
Sual-Cavab
Bloq
Əlaqə
Haqqımda
Xidmətlər
Nəticələr
Sual-Cavab
Bloq
Əlaqə
Randevu
Əvvəl-Sonra
Pasiyentlərimizin nəticələri
Çoxlu diş əti çəkilməsi olan xəstənin damağdan aldığımız yumuşaq toxuma ile tam qapadılması
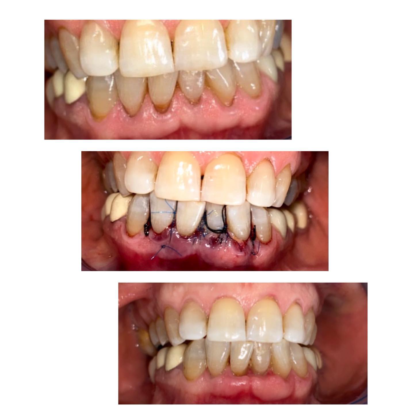
Alt kəsici dişətinin çəkilməsi olan pasientin damaqdan diş əti parçası alaraq bərpası
Diş əti çəkilməsi olan xəstənin tunel əməliyyatı ilə çəkilmənin qapadılması
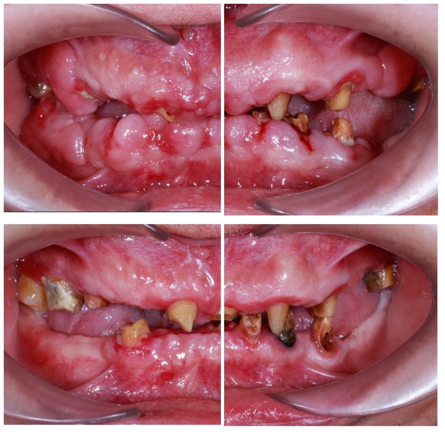
Diş ətinin iltihabı
Diş ətində olan qızartı, şişkinlik və qanama kimi əlamətləri olan diş əti xəstəlikləri müalicə olunmalı və sonra qapaq ilə implant edilməlidi
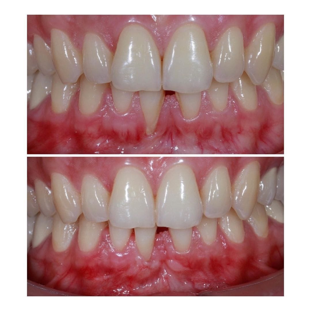
Dişətini koronelə çəkilməsi
Dodaq Frenulum, orta mərkəz dişlərin aralanmasına səbəb olduğunda onu kəsmək göstərişdir
Epulusların götürülməsi
Gingivektomi (gigeniya əksikliyindən və ya bəzi dərmanların istifadəsindən meydana gələn aşırı diş əti böyüməsinin çıxarılması)
Gömülü ağıl dişlərinin çəkimi
Gömülü dişin çəkimi
“Gummy smile” aradan qaldırılması
İmplant rentgenləri
Sinus lifting
Protez kenaranın vuruğu zamanı meydana gələn “epulis fissuratum”
Siqaret və ya digər səbəblərdən yaranan rənglənmələrin götürülməsi
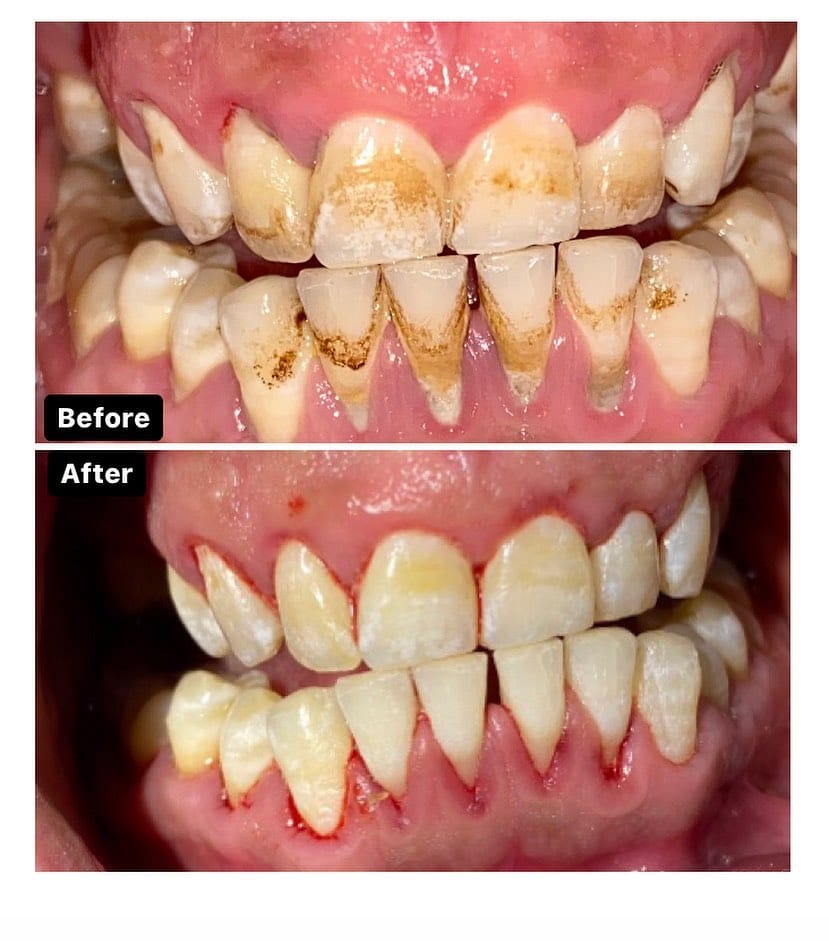
diş daşlarının təmizlənməsi
diş daşlarının təmizlənməsi
Zoom aparatı ilə 1 gündə dişlərin ağardılması
Air-flow
Zirkonium Dişlər